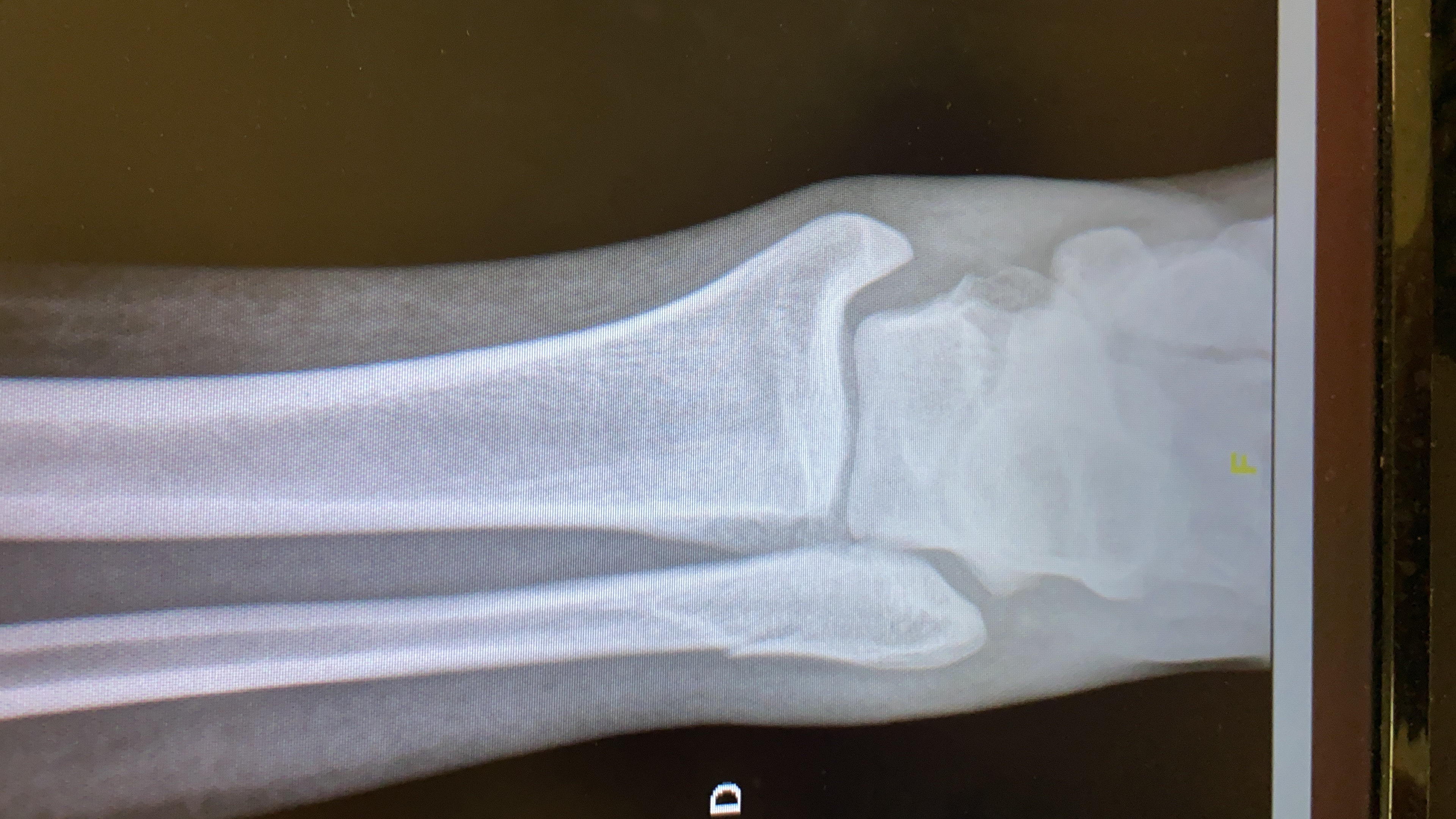
Fraturas do tornozelo
As fraturas do tornozelo podem ser resultantes de uma ampla variedade de trauma. Traumas de baixa energia tais como entorses ou de alta energia como acidentes de trânsito. São lesões comuns na prática ortopédica porém podem causar sequelas irreversíveis. Podem ser tratadas de modo conservador com imobilização e analgesia ou cirurgia dependendo do grau da lesão. Na dúvida procure seu ortopedista de confiança #drluizperesfilho #fratura de tornozelo 